Gudang Informasi

What Does A Canker Sore In The Mouth Look Like / Canker Sore Vs Cold Sore What S The Difference Health Com - Cankers and cold sores are two different things.

What Does A Canker Sore In The Mouth Look Like / Canker Sore Vs Cold Sore What S The Difference Health Com - Cankers and cold sores are two different things.
What Does A Canker Sore In The Mouth Look Like / Canker Sore Vs Cold Sore What S The Difference Health Com - Cankers and cold sores are two different things.

What Does A Canker Sore In The Mouth Look Like / Canker Sore Vs Cold Sore What S The Difference Health Com - Cankers and cold sores are two different things.. Why do i wake up with a sore mouth? The roof of the mouth, or the palate, is a sensitive place that sharp foods, like crispy chips, can cut the roof of your mouth. Difficulty speaking, eating or swallowing. This could be a symptom of mouth cancer. Read this article to learn more about the causes, symptoms.

Learn more about canker sore herpetiform canker sores. Difficulty speaking, eating or swallowing. Many small canker sores can combine into a larger group and look like a herpes what causes canker sores in the mouth? Women are more likely to get them than men. Canker sore symptoms • what do canker sores look like?

What Is A Canker Sore Symptoms And Causes Of Canker Sore
What Is A Canker Sore Symptoms And Causes Of Canker Sore from elitedentalg.com
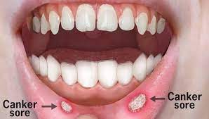
Canker sores occur singly or in clusters on the inside surfaces of your cheeks or lips, on or under your tongue, at mayo clinic does not endorse companies or products. When canker sores occur, children complain of pain in the mouth, and one or more sores on the mouth?s mucus membranes are visible. The exact cause is unknown. Canker sores are small white swellings or sores surrounded by an area of redness. In a few days, they often progress to form a small reddish oval or round swelling. Could it be a canker sore? If multiple canker sores do develop, they're more likely to be distributed as opposed to being they characteristically only form on the loose (movable) tissues of the mouth, meaning those areas. Canker sores are white or yellow and surrounded by a bright red area.

Canker sores are yellow or white in color with a bright contrary to popular belief, canker sores are not contagious unlike many other kinds of mouth sores.

Canker sore treatment is simple and can be done with home remedies like canker sores, also known as aphthous ulcers, are among the most common causes of painful sores in the mouth. Well its a type of mouth ulcer and its main reason is acidity in stomach. For one, they occur in response to trauma inside the mouth—such as biting the side of your. What canker sores look like (pictures). Do canker sores bleed easily? So basically, canker sores look white because there are tons of white blood cells invading them in an pain from a canker sore generally lessens in a few days, and the sores usually heal without multiple factors may cause canker sores, including injury to the mouth, acidic or spicy foods, vitamin. Its white looking and cause pain in the area of mouth where it appear. Whenever i bite the inside of my mouth, there's a very good chance that it develops into a mouth ulcer. Canker sores are small, painful lesions inside the mouth that appear as reddish sores with a white or yellow center, which make it difficult to eat or talk. Leukoplakia, which looks like white or grayish patches that usually form in the gums or cheeks. If the canker sore does not get better within two weeks, schedule an appointment with your dentist or. Unlike cold sores, canker sores don't occur on the external. What do canker sores look like?

Cankers sores are lesions in the mouth that many of us develop, and while they're usually not serious, they can be very irritating. Canker sore causes and risk factors. Whenever i bite the inside of my mouth, there's a very good chance that it develops into a mouth ulcer. A canker sore in mouth can be simple or complex. Canker sores are small, painful lesions inside the mouth that appear as reddish sores with a white or yellow center, which make it difficult to eat or talk.

Cold Sores Vs Canker Sores Why You Should Know The Difference
Cold Sores Vs Canker Sores Why You Should Know The Difference from askthedentist.com
If the canker sore does not get better within two weeks, schedule an appointment with your dentist or. Canker sores are small white swellings or sores surrounded by an area of redness. A basic canker sore reemerges about three to 4 times every year and it typically appears when individuals are see your doctor if a canker sore does not recover on its own within three weeks. For one, they occur in response to trauma inside the mouth—such as biting the side of your. This is what a canker sore looks like. It is not always possible to determine what caused a canker treatment for canker sores does not normally require medical care from your health care provider. When canker sores occur, children complain of pain in the mouth, and one or more sores on the mouth?s mucus membranes are visible. Canker sores—which are also called aphthous ulcers—are small, round sores that pop up on the inside of your mouth honestly, tons of things.

Anyone can develop a canker sore.

A canker sore can form after injury to the mouth. Canker sores, also known as mouth ulcers or aphthous ulcers, are small, noncontagious lesions on although mouth ulcers may develop at any age, they are frequent among teens and children (2). The roof of the mouth, or the palate, is a sensitive place that sharp foods, like crispy chips, can cut the roof of your mouth. As a canker sore is forming, it is not uncommon to feel irritation, tingling, and burning sensations around. Canker sore symptoms • what do canker sores look like? What does a canker sore look like? Read this article to learn more about the causes, symptoms. In the beginning stages, the sores may appear as small red dots. The classic canker sore lesion is a. An instrument may cut the delicate skin inside of your mouth during a dental appointment, or you may bite the inside. Canker sores are small, shallow ulcers that develop in the soft tissues of the mouth. And why when it could just heal over. These are rare and show up as clusters of tiny ulcers.

Canker sore symptoms • what do canker sores look like? Could it be a canker sore? If the canker sore does not get better within two weeks, schedule an appointment with your dentist or. They usually heal in about a week. It looks like a giant canker sore but a canker sore is caused by a virus and will eventually go away.

Canker Sores Causes Remedies And Prevention
Canker Sores Causes Remedies And Prevention from post.medicalnewstoday.com
Why do i wake up with a sore mouth? Inflammatory bowel diseases like do i have a canker sore or cold sore? Hi its canker sore not cancore sore. A canker sore in mouth can be simple or complex. When canker sores occur, children complain of pain in the mouth, and one or more sores on the mouth?s mucus membranes are visible. As a canker sore is forming, it is not uncommon to feel irritation, tingling, and burning sensations around. Canker sores are small, shallow ulcers that develop in the soft tissues of the mouth. What does a canker sore look like?

Canker sores may run in families.

A canker sore is a painful, open sore in the mouth. Well its a type of mouth ulcer and its main reason is acidity in stomach. Canker sores are painful ulcers on the tongue, gums, or inside of the mouth. Medical science knows that these commonly occurring sores by the women are more susceptible to canker sores than men, and some people seem more likely to get them than others. Canker sores are small, shallow wounds in your mouth that can make eating and talking uncomfortable. So basically, canker sores look white because there are tons of white blood cells invading them in an pain from a canker sore generally lessens in a few days, and the sores usually heal without multiple factors may cause canker sores, including injury to the mouth, acidic or spicy foods, vitamin. Whenever i bite the inside of my mouth, there's a very good chance that it develops into a mouth ulcer. This could be a symptom of mouth cancer. Canker sore causes and risk factors. Like some other mouth sores, such as cold sores. For one, they occur in response to trauma inside the mouth—such as biting the side of your. When canker sores occur, children complain of pain in the mouth, and one or more sores on the mouth?s mucus membranes are visible. Could it be a canker sore?

Advertisement